
Notes from a recent Dental Hygienist appointment…
Recently, I had my teeth cleaned by Dental Hygienist Joyce at Wyndam Manor Dental. I have written about dentistry but never really spoke with a hygienist, carelessly and mistakenly dismissing this professional as being secondary and less important than the dentist. Though the conversation was a little one-sided here is what I learned from hygienist Joyce.
What is tartar and why can it be a serious problem?
Tartar is a hardened plaque that forms on teeth and can lead to oral health problems if not cleaned by a hygienist. Tartar develops when plaque mineralizes and hardens on the tooth surface, usually yellow or brown in color and seen near the gum line or between teeth. Once tartar forms, it becomes difficult to remove through regular brushing and flossing alone. Professional cleaning to scrape it off the teeth is necessary.
How serious of a problem can tartar be?
Tartar buildup can lead to gum inflammation and gingivitis, the early stage of gum disease. Serious tartar buildup can progress to periodontitis, a more severe form of gum disease that can cause gum recession, tooth loss, and even affect overall health.
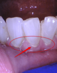
Teeth cleaning: BEFORE AND AFTER
Examine the photos below show teeth before and after cleaning by the hygienist. This tartar buildup was just two months since the cleaning. However, this patient is very prone to tartar buildup. The average person may take many more months to accumulate this amount of tartar. However, a dental hygienist can diagnose your tartar development and prescribe the frequency of having your teeth cleaned.




Dentist vs hygienist?
You can have a hamburger prepared by a 5-star chef or a fast food line cook. In either case, you still receive a hamburger but the chef may be ‘overkill’ when the hygienist will do. Hygienists receive accreditation from universities or medical schools. In hygienist Joyce’s case, she was a dental assistant for a number of years before she decided to get professional certification.
What is the difference? Dentist, hygienist, Dental Assistant.
A dentist is a trained doctor with medical certification. He/she may do surgery, prescribe pharmaceuticals, or give medical advice relating to teeth.
A hygienist, professionally certified, does dental maintenance servicing: teeth cleaning, gum health maintenance, and support follow-up to dentist medical advice/work.
A dental assistant is trained to assist the dentist in his/her work, preparing equipment, and assisting in dental surgery and oral maintenance.
The Dental Hygienist, the Dentist’s partner
Dental hygienists are specialists in preventing and managing oral diseases, including tartar buildup. They are trained to perform thorough teeth cleaning procedures, including scaling and root planing, to remove tartar and plaque. They also educate patients on proper oral hygiene practices to prevent tartar formation and maintain healthy teeth and gums.
What is the hardest aspect of your job?
Surprisingly, the physical demands are the hardest aspect of our job. Because of the constant physicality of the job, there are repercussions on the upper body, the shoulders as well as the fingers and wrists. These are areas that are constantly in motion and at work and the strain can have painful repercussions such as carpal tunnel syndrome and upper body muscle pain. A hygienist must pay attention to these anatomical areas and do exercise to keep him/herself in order to continue doing their work effectively.
Why haven’t you become a dentist?
Though a dentist earns more, there are much greater professional responsibilities in that role. Some professionals do not want to take on the heavier role. Also, some professionals have chosen to become hygienists because of the personal restraints and opportunities or lack of. The role of being a hygienist can be very satisfying for many reasons. The is great satisfaction is following up dentist’s work and seeing how it develops. It is very satisfying to have a patient following dental advice and follow-up maintenance. Our role is to support the dentist and seeing patient success gives us as much job satisfaction as the dentist.
How often should one attend a dental hygienist?
The frequency and interval between dental office visits varies as it depends on so much. A person’s diet, a person’s digestive system, a person’s diligence in doing what has been prescribed, a person’s dental hygiene. Brushing one’s teeth a number of times daily is a given, but other self-services are important. Dental flossing, especially proper flossing techniques, is an important aspect of dental care. Dental care patients should ask a hygienist to show them proper flossing techniques.
Is hygienist service expensive?
Paying for dental service has many aspects to it from personal medical insurance coverage to provincial government assistance for some groups. Cost should not be an obstacle to proper dental care. Talk with your dentist or hygienist to learn more about financial aspects of dental care.
What’s your last word about dental care?
Effective dental care means more than just brushing twice each day, flossing all the teeth full each day, and using a good toothpaste such as Colgate Prevident. It means meeting with your dentist and/or hygienist at least once a year to assess and evaluate your teeth situation. Prevention is much better than treatment.
						




